荧光显微镜

一体机荧光显微镜,完全电子控制,无需暗室,捕捉清晰图像。这种显微镜极大地改变了传统的显微镜知识,如观察活细胞之间的通信过程,整个目标的高分辨率观察,以及在观察整个轮廓时对弥散的理解。
阵容
特性
捕捉清晰的图像没有荧光模糊
光学切片
容易捕捉高清图像,而不造成模糊的失焦信号。BZ-X800E独特的光学切片技术使用电子投影元件进行结构照明。操作简单直观,即使是第一次使用的用户也能在几秒钟内捕捉到高质量的图片。
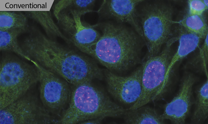
Tohoku大学牙科研究生院儿科牙科部Momoko Ishikawa提供的Tubulin和H2AX
高速捕捉高分辨率,广域图像
图像拼接
在高倍放大率下观察标本通常需要将观察区域扩展到单个视场之外。图像拼接允许用户在高放大倍数下轻松捕获整个标本,并无缝创建单个高分辨率图像。
高达50,000 x 50,000像素可以快速连接在一起,没有针线或亮度变化。可以以比传统方法快7倍的速度捕捉大量图像。

大鼠脊髓
爱媛大学医学研究生院麻醉及围手术期医学系西原Tasuku教授
图像血细胞计数器模块

捕获和分析的高吞吐量
在一个位置的捕获设置可以立即应用到井板上的所有视野。用户可选择任意井或所有井进行扫描,扫描条件一致,数据重现性高。这个工作流程可以通过三个简单的步骤完成。然后系统将自动执行捕获,不需要任何额外的用户配置。
图像分析血细胞计数器

精确,高内容分析与高分辨率图像
设置单个图像的分析条件,自动应用于所有数据点。这节省了时间并减少了从一个图像到下一个图像的可变性。BZ-X800E的先进光学捕捉高分辨率图像,获得高度精确的数据采集。
荧光显微镜是利用荧光来观察样品的光学显微镜。荧光显微镜用特定波长的光照亮目标,使目标吸收光并发出更长的波长。这使得目标在一个黑暗的视野内发光。
与传统显微镜不同的是,荧光显微镜使用高灵敏度的探测器,仅测量目标发出的光,从而实现高分辨率的观察和成像。
荧光显微镜的好处
荧光显微镜将光线照射到用荧光染料染色的细胞上,这使得人们能够比使用反射光的传统显微镜更清楚地看到细胞特征。荧光显微镜也具有很高的灵敏度,可以检测亮度和波长的差异。这样就可以观察到用标准的白光光学显微镜无法观察到的细节。
光学显微镜的分辨率随观察所用光的波长而变化,并受物镜孔径的限制。观测分辨率也受到物镜可见光最短波长的限制,约为200 nm。
然而,在荧光显微镜下,细胞被荧光染料染色,以更高的分辨率观察细胞结构之间的更大反差。188金宝搏官方app下载多种荧光染料的观测图像也可以通过使用不同的染料和不同光谱的带通滤波器得到。
大多数共聚焦激光显微镜有一个狭窄的波长范围,可以在给定的时间激发。如果减小针孔直径以提高分辨率,则需要更小的直径提供更高的激光功率。这会导致荧光染料褪色,对活细胞造成损害。相反,荧光显微镜可以通过结合白光光源和激励滤光片来激发大范围的细胞。使用高灵敏度图像接收元件可以进行荧光观察,对样品的损伤最小,使观察活细胞更容易。
大多数共聚焦激光显微镜通过使用单波长激光和小针孔直径来最小化激发区域来实现高分辨率。然而,当激发波长变窄,针孔直径减小时,光强减小,噪声增大。增加激光功率和降低扫描速度可以解决这个问题,但这增加了活细胞受损的风险。
现代荧光显微镜使用波长从紫外线到近红外的白光光源,并为荧光试剂使用适当的激发过滤器,使激发的荧光无损耗成像。高灵敏度的图像接收元件允许使用较弱的光强,降低了样品损坏的风险。这可以方便地延时和实时成像,以高清观察活细胞。
现代荧光显微镜使用电子投影元件进行结构照明,从而实现对标本的高速扫描。BZ-X系列配备了光学切片模块,使用白光而不是激光,最大限度地减少了损伤。这使得高精度光学切片成像在广泛的波长范围内没有荧光模糊。
对于较厚的标本,由于荧光模糊,常规荧光成像难以获得清晰的图像。荧光模糊是由z方向的失焦散射光与聚焦表面的清晰信号混合造成的。
在现代荧光显微镜中,激发光被构造成条纹并投射到样品上。虽然条纹清晰地投射在聚焦表面上,但在非聚焦表面上却不清晰,无法观察到,从而降低了噪声。然后通过扫描样本同时移动模式自动获得多个图像。图案的移动可以使荧光模糊的区域与样本的其余部分精确分离。这个过程能够捕获清晰的切片图像,只显示来自聚焦表面的信号。
有两种构造激发光的方法:使用物理网格或使用电子投影元件。除了根据放大倍数自动优化图案宽度外,使用电子投影元件还可以将图案转换为针孔形状,以实现更高分辨率的成像。
荧光显微镜案例研究
癌症研究、细胞生物学:外泌体的局部观察
外泌体的直径为30 ~ 150 nm,很难用光学显微镜观察到。电子显微镜不常用来测量细胞的物理性质,因为电子束会改变细胞。设备也很大,所以配备电子显微镜的设备数量有限。
对于BZ-X系列的外泌体观察,使用荧光染料可以使外泌体可视化,并可以观察提取的外泌体(RNA货物)和外泌体膜中所含的RNA。这种观察允许监测依赖时间的外泌体定位变化和外泌体被带入细胞(通过外泌体的细胞间通讯过程)。
BZ-X系列作为一种能够更准确地分析外泌体的新技术而备受关注。
临床医学:自动分析CD68(巨噬细胞)肾小球占用率
CD68(巨噬细胞)渗入肾小球是所有进行性肾脏疾病的普遍现象。CD68的观察包括HE染色,然后捕捉肾脏活检的鸟瞰图。用普通显微镜对厚样品进行聚焦是很困难的,但是BZ-X系列z-stack图像捕捉可以使整个图像聚焦观察。此外,高速图像拼接可以捕获高分辨率的大图像进行分析。肾小球(由毛细血管组成的微小小球)控制着肾脏的过滤功能,在一个肾脏中大约有100万个肾小球。CD68渗透到肾小球,导致肾组织纤维化和进展性肾病。BZ-X系列在治疗这种疾病方面取得了重大进展,使其成为一种流行的观察系统。
材料化学:复合材料中纤维分散的可视化
由混合有机和无机材料制成的复合材料,如果在制造过程中没有均匀地混合,则可能没有预期的特性。有机和无机材料的混合一般可以用光学显微镜或电子显微镜来证实。然而,如果有机材料和无机材料是相同的颜色,可视化的分散只有有机材料可能是困难的。一般来说,有机材料会发光,而无机材料则不会。荧光观测利用了这一特性,使得仅能看到有机材料。
BZ-X系列即时捕捉连续荧光和光学(亮场)图像,并易于生成叠加图像。在观察整个形状的同时,这提供了对有机材料分散的清晰理解。利用定量分析软件将发光部分转换为二值图像。这种转换进一步允许基于物质计数、面积和其他数值参数的定量评估。BZ-X系列无论放大倍数如何,都能提供广阔视野的图像,从而实现准确的评估和判断。
用孔板进行定量分析
大型机动舞台确保支持各种各样的目标。188bet在线配合先进的导航功能,快速找到所需区域,该平台使研究人员能够进行快速广域观察,在此过程中他们不会失去目标。用户指定点的捕获条件也可以立即应用于井内所有视图。这使得所有井都可以使用相同的捕获条件进行成像。
统一的捕获条件可以实现高重现性,所有设置都可以轻松配置,用户无需从头到尾监控显微镜。
除了减少测量时间和在条件没有变化的情况下进行准确分析,高密度测量数据利用来自于一体化荧光显微镜的高清图像提供了前所未有的清晰观察。
捕捉活细胞和组织的变化
通过BZ-X,可以在指定的间隔时间内捕捉到亮场、荧光和相衬图像的延时图像。默认情况下,延时观察需要大量的时间投资,观察失败的可能性增加,主要是由于细胞损伤,细胞漂移出焦点,细胞离开视野。
BZ-X配备了各种功能,以应对执行延时成像时遇到的常见问题。因为BZ-X系列使用白光而不是激光,所以即使长时间使用,细胞损伤也能降到最低。此外,BZ-X具有先进的成像功能,减少了样品的曝光时间。BZ-X还配备了跟踪功能,以确保细胞保持在焦点和视野内,即使样品改变位置或形状。由于先进的跟踪和成像算法,BZ-X显微镜是执行延时成像的理想解决方案。
通用性强,适用范围广
冷却CCD单色相机提供清晰的类似共焦的图像,结合了高灵敏度和低噪声。
这使得即使在低激发光下也能清晰的荧光成像,最大限度地减少光漂白和对光毒性敏感的细胞的损伤。该相机还能在近红外范围内成像Cy7等染料,从而观察位于深层组织层的细胞。此外,它使用金属卤化物灯作为荧光光源,因为它的波长范围从紫外到红外都很宽。这使得简单地通过更换过滤器188bet在线就可以支持一系列荧光颜料。BZ-X系列采用独特的光学切片技术,利用电子投影元件进行结构照明,提供令人印象深刻的清晰图像。一键捕获高清图像是可能的,没有荧光模糊。
通过对共聚焦点信息的精确检测,即使是较厚的样品也能获得清晰的图像。这个功能可以捕获各种标本,如动物细胞、植物细胞和培养的组织。光学切片还提供了高精度的横断面图像,没有其他焦平面的荧光模糊。清晰的z堆栈可以转化为现实的3D渲染,允许精确的定位分析。
荧光显微镜的常见问题
虽然这两种设备都使用荧光蛋白或标本本身发出的荧光进行观察,但荧光显微镜使用白光光源,而共聚焦显微镜使用激光。下面列出了这两种显微镜的其他主要区别。
荧光显微镜:
•光源包括汞灯(超高压汞灯、金属卤化物灯等)和led。
•光线投射到目标的整个表面上,使用图像接收单元捕捉激发的荧光。
•来自焦平面以外的光也被捕获。现代荧光显微镜使用结构照明来消除模糊。
•白光光源提供从紫外线到近红外的广泛波长,用于用单一光源捕捉不同波长的荧光(需要使用适当的滤光片)。
共焦显微镜:
•使用激光器作为光源。
•激光以点的形状照射,并扫描目标表面,利用光电倍增管接收到激发的荧光,以创建观测图像。
•通过在与焦平面共轭的位置上放置针孔,可以消除焦平面以外的模糊,确保只捕获焦平面。
•一般情况下,单波长激发光由单个激光管发射。检测多种荧光需要额外的激光管。
荧光显微镜主要用于观察、成像和分析生物样品,如组织和细胞。它们通常用于癌症、细胞生物学、药物和临床医学的研究和研究。
BZ-X系列有一个内置暗室和安装尺寸~ 1' x 2',因此高对比度荧光成像是可能的任何地方。
尽管尺寸紧凑,BZ-X系列包括一个大型电动工作台,可与井板一起使用,以有效观察多个样品。最多可以安装六个物镜,CCD相机可以在彩色和单色模式之间切换。几乎所有的操作都可以在PC上完成,从切换物镜和滤镜到调整焦距。低光漂白剂模式和高速自动对焦功能,任何人,即使是初学者,都可以捕捉到清晰的图像。
该系统还提供了广泛的扩展功能,以支持各种标本,包括光学切片,自动图像拼接,和细胞计数。188bet在线BZ-X系列是一种多功能显微镜,能够用于各种各样的应用。
荧光显微镜由一个相机(CCD、CMOS等)组成,它充当探测器、滤光片、光源和分束器。该滤波器由激励滤波器和发射滤波器组成。在传统的荧光显微镜中,透射方法包括一个暗场聚光镜,它完全切断了从光学观察路径照射样品的激发光。然而,近年来,反射短波长波长的二色镜和低自荧光玻璃物镜的发展,导致外延照度法的主流应用。下面的部分解释荧光表面显微镜的组成部分。
CCD相机(探测器)
采用CCD相机检测发出的光进行荧光观测。摄像机与计算机连接以显示捕捉到的图像。
光源
使用汞灯、氙灯或led灯作为光源。
激发滤
激励过滤器只允许特定波长的光通过,同时屏蔽所有其他波长的光。
二色镜(分束器)
二色镜将激发光和发射光分开。与普通的镜子不同,这种镜子只反射特定波长的光,过滤掉所有其他的光。由于激发光从样品反射,只有样品发出的荧光被传输到CCD相机。
发射滤光片
发射滤光片阻挡除样品发射的光外的所有波长的光。通过这种方式,样品发出的荧光被所有其他光过滤掉,包括散射光。

A:激励滤光片,B: CCD相机(探测器),C:发射滤光片,D:二色镜(分束器),E:物镜,F:样品,G:光源
荧光显微镜的过滤器
角色的过滤器
激励滤光片、二向色镜和发射滤光片封装在显微镜的一个镜单元或“立方体”中。这个反射镜单元是为了匹配特定荧光材料的光谱而设计的。然而,有些镜像单元不包括滤镜。在这种显微镜中,滤镜被放置在一个炮塔上。这个炮塔是用来结合激励和发射波长到一个最佳条件。
*光谱:由分光计分辨出的光在不同波长的光强分布的阵列。
选择一个过滤器
滤镜的选择取决于观察是否涉及一种或多种荧光染料。例如,只观察一种荧光染料,为该染料选择适当的激发滤波器和发射滤波器。对于观察两种或两种以上的荧光染料,激发和发射滤光片的组合将根据具体的染料而变化。这是由于特定的荧光染料之间的特定光谱的变化,所以知道荧光染料的光谱是必不可少的选择过滤器。
确定光谱
当选择滤光片时,必须首先确定每种荧光染料的激发光谱和发射光谱。当使用两种荧光染料时,其中一种染料应使用透射范围较窄的染料分离过滤器,以消除另一种染料的激发。否则,如果一个滤光片的透射范围包括长波长区域,则另一个滤光片的荧光也会被观察到。
其他荧光染料的滤光片也应与所需的光谱相匹配,以便观察。采用适用于每种荧光染料的窄透射范围的滤光片,从而可以只观察目标信号。
选择励磁滤波器
根据光波长范围的宽度,可以使用宽频带和窄带滤波器。所选择的滤光片应尽可能针对荧光物质的激发波长。特别是当使用汞灯光源时,有效的激发要求将汞灯的发射线纳入激发波长。一般来说,使用与被观察的荧光材料激发波长不同的波段的强光会增加背景光,以获得更明亮的图像。然而,由于这可能会不必要地损坏样本,窄带滤波器通常是首选。
选择发射滤波器
发射滤光片的选择将取决于光源。当使用白光光源时,由于光带较宽,只需要提取激发所需的波长,所以通常使用滤光片。
光学滤光片有很多种类型,从简单的彩色玻璃滤光片到只传输特定波长的光的干涉滤光片。为了只提取特定波长的光,通常使用只传输一个狭窄波长范围的旁路滤波器。对于只观察一种荧光染料,要么使用长通滤波器,要么使用短通滤波器。
长通和短通滤波器
长通滤光片和短通滤光片用于观察单个荧光染料。长通滤波器通过阻挡激发光并允许所有其他光通过来减少背景噪声。
然而,短通滤波器只允许比某一波长更短的波长通过。这些过滤器通常用于观察单个染料,因为它们最大限度地提高了信号检测。
带通滤波器
当样品中使用一种以上的荧光染料时,使用带通滤波器。每一种染料发出的光都被分离了,所以检测器只能接收到样品发出的荧光。
总结
荧光镜单元可根据需要,通过购买滤光片和二色镜单独组装,以匹配光源。这允许用户为所使用的特定荧光染料创建镜像单元的理想组合。
综上所述,可靠的荧光成像需要选择合适的滤光片。采用一键式荧光显微镜,滤光片、光源、透镜一体化,易于调整,安装方便,操作简单,即使不熟悉显微镜操作,观察也可靠。

